Traumatic Brain Injury and Concussion

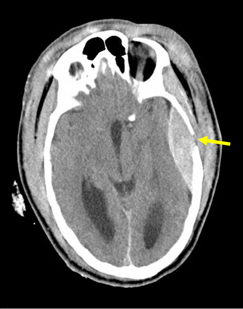
Image credit: Increased Intracranial Pressure Team-Based Learning Module.  Barratt DM, Mader Jr EC, Oliva AA.  MedEdPORTAL Publications; 2015.

Image credit: Increased Intracranial Pressure Team-Based Learning Module.  Barratt DM, Mader Jr EC, Oliva AA.  MedEdPORTAL Publications; 2015.

Dr. Barratt has worked in trauma centers, where she cared for patients with brain injuries.  Her publication on increased intracranial pressure and head injury was published on MedEdPORTAL. 

According to the CDC, a concussion is a type of traumatic brain injury or TBI.  Although concussions can be described as mild when they are not life-threatening, patients can experience lasting symptoms that include headache, dizziness, balance problems, memory issues, and sleep disturbances.  With proper diagnostic evaluation and treatment, patients can experience recovery.

Sleep and Traumatic Brain Injury

A study of nearly 200,000 US veterans revealed that those with traumatic brain injury (TBI) were 41% more likely to develop sleep disorders, including sleep apnea, insomnia, hypersomnia, and sleep-related movement disorders.  The association was stronger for mild TBIs.  (Leng and others. Neurology. 2021;96(13):e1792-e1799.)  Patients with TBI should be evaluated for sleep disorders.  Home sleep studies would be appropriate for most patients. 

Image credit:  Barratt DM and others, Headache OSCE Part 3, Association of American Medical Colleges, MedEdPORTAL, 2013.

Headache and Traumatic Brain Injury

Traumatic brain injury can cause chronic headaches.  There may be a delay between the injury and the onset of the headaches.  According to the International Classification of Headache Disorders-3, PERSISTENT HEADACHE ATTRIBUTED TO TRAUMATIC INJURY TO THE HEAD is reported to have developed within 7 days after injury to the head and persists for >3 months after its onset.  Brain imaging should be performed to exclude structural lesions.  Many treatments are available, including CGRP medications, nutraceuticals, and massage therapy.

Image credit:  Barratt DM and others, Headache OSCE Part 2, Association of American Medical Colleges, MedEdPORTAL, 2013.

Google Review: Dr. Barratt came highly recommended by a friend. I am grateful for her wonderful, excellent care with my son who sustained a brain injury. She gave him the courage to apply for a higher skilled job and made some very helpful suggestions that he was closed off to previously. She is a kind, caring, and extremely compassionate physician and a highly qualified expert in neurology and sleep management. Most importantly, she is the kind of doctor who always takes the time to listen to her patients. It can be a true comfort to a patient to realize that they have been heard and that their concerns and worries are being addressed. My son has made more improvements in the short time that he has been seeing Dr. Barratt than in the past seven years. Dr. Barratt, thank you for believing in JP and for giving him the courage to believe in himself!